يعتبر سرطان تحت اللسان من الأمراض الخطيرة والشائعة التي تتطلب الفحص والاستشارة الطبية في مراحل مبكرة، خاصًة وأن أعراضه تتشابه في البداية وإلى حد كبير مع أعراض الالتهابات البكتيرية المعروفة بأنها تصيب الفم، وتؤثر بشكل سلبي على صاحبها لفترة طويلة من الوقت، إذ يؤدي اكتشاف هذا المرض في بدايته إلى حماية المريض من مضاعفاته الخطيرة، ومن ثم تماثله للشفاء في فترة زمنية قصيرة.
وفي هذا المقال، نتولى بالشرح مزيد من التفاصيل هو طبيعة المرض، أعراضه، أسبابه، بالإضافة إلى طرق علاجه وأفضل مركز طبي متخصص في علاج أورام تحت اللسان.
سرطان تحت اللسان
سرطان تحت اللسان هو نوع من الأمراض السرطانية الخطيرة، يبدأ في صورة نمو للخلايا السرطانية الموجودة في قاع اللسان بشكل خاص، أو الحلق بشكل عام، ويبدأ بالظهور في الخلايا الرقيقة التي تُبطن الجزء الداخلي من الفم، ولذا، يُطلق عليه الكثير من الأطباء المتخصصين اسم سرطان الخلايا الحرشفية.
أسباب سرطان تحت اللسان
ينتج سرطان تحت اللسان بسبب حدوث طفرات جينية في الحمض النووي للخلايا الموجودة في منطقة اللسان أو تحت اللسان، هذا الأمر الذي يؤدي إلى نمو وتكاثر الخلايا بشكل زائد عن الحد الطبيعي، ويفوق قدرة الجسم على مقاومة هذه الطفرات الجينية السرطانية.
وعلى الرغم من أن الأسباب الرئيسية وراء الإصابة بالمرض غير معروفة حتى وقتنا هذا، إلا أن هناك العديد من العوامل التي تزيد من خطر الإصابة به، ومن هذه العوامل ما يلي:
- الإفراط في تناول الكحوليات بمختلف أنواعها يؤدي إلى تلف الحمض النووي للخلايا الموجودة تحت اللسان، ومن ثم إصابة المريض بالسرطان.
- الإفراط في التدخين واستخدام التبغ الموجودة في السيجار العادي أو حتى السجائر الإلكترونية يعتبر من العوامل الرئيسية وراء خطر الإصابة بالمرض.
أعراض سرطان تحت اللسان
أعراض سرطان تحت اللسان تختلف من مريض إلى آخر بناءًا على المرحلة التي يعاني منها المريض وتؤثر عليه، وتجدر الإشارة إلى أن هذه الأعراض قد لا تظهر إلا في مراحل متقدمة، وتتمثل هذه الأعراض فيما يلي:
- ظهور كتلة أو تقرحات أسفل اللسان.
- الشعور بألم شديد في منطقة اللسان.
- الإصابة بألم شديد في الأذن.
- ظهور بقع حمراء أو وردية أسفل اللسان.
- عدم القدرة على تحريك اللسان بالشكل الطبيعي.
- الإصابة بسعال مصحوب بدم.
- خروج رائحة كريهة من الفم.
- الشعور بصعوبة في التحدث أو البلع.
- التهاب مستمر في الحلق.
- فقدان ملحوظ في الوزن.

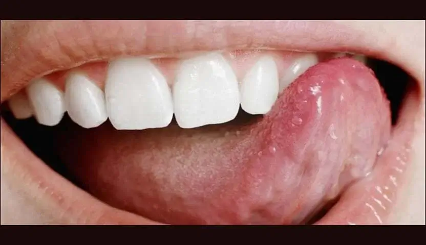
شكل سرطان تحت اللسان
يظهر سرطان تحت اللسان في شكل كتلة أو كيس باللون الأحمر أو الوردي في منطقة أسفل اللسان، ويختلف حجم هذه الكتلة أو الكيس من مريض إلى آخر حسب حالته ومرحلة المرض التي يعاني منها، وفي الكثير من الأوقات، تكون هذه الكتل مخاطية، وتسبب انسداد ملحوظ في الغدد اللعابية.
لا تسبب هذه الكتل المخاطية الألم عادًة في بداية ظهورها، ولكن مع ازدياد حجمها ووصول المريض إلى مراحل متقدمة من المرض، قد يشعر بالعديد من الأعراض التي قد يصعب على البعض تحملها، ولذا تختلف طرق علاج المرض من مريض إلى آخر حسب حالته وحجم هذه الكتلة.
تشخيص سرطان تحت اللسان
يتم تشخيص سرطان في الفم تحت اللسان عن طريق إتباع الطبيب المعالج أو المختص لمجموعة من الطرق أو الإجراءات الضرورية، والتي تعتمد بشكل أساسي وضروري على فحص المنطقة المصابة أو موضع الألم بدقة عالية، وتتمثل طرق تشخيص سرطان تحت اللسان فيما يلي:
- أخذ عينة من المنطقة المصابة أو القرحة الموجودة أسفل اللسان؛ لكي يتم فحصها تحت المجهر بحثًا دقيقًا؛ للكشف عن أي خلايا سرطانية.
- الخضوع لاختبارات التصوير المختلفة، والتي تتنوع ما بين التصوير بالرنين المغناطيسي، والتصوير المحسوب أو المقطعي.
- خضوع المريض للتنظير الداخلي، والذي يعتمد على إجراء فحصًا دقيقًا لمنطقة الحلق، وذلك عن طريق استخدام المنظار الطبي الدقيق.
علاج سرطان تحت اللسان
يهدف علاج سرطان تحت اللسان إلى التخلص منه بشكل نهائي، ويتم ذلك عن طريق القضاء على الخلايا السرطانية الخطيرة، والتي من خلالها يمكن تقليل فرصة الإصابة بسرطان قاع الفم الخطير، والذي ينتج عنه مضاعفات يصعب على العديد من المرضى تحملها، وتتمثل طرق العلاج فيما يلي:
- إجراء عملية استئصال لإزالة الورم أو الكتلة السرطانية الخطيرة الموجودة أسفل اللسان، وفي هذه الحالة، قد يقوم الطبيب المعالج بإزالة جزء بسيط من اللسان أو إزالة اللسان بشكل كلي.
- الخضوع للعلاج الإشعاعي الذي يتم من خلال توجيه حزمًا مرتفعة الطاقة نحو الجزء المصاب من اللسان، إذ يساعد على تدمير الخلايا السرطانية، ولذا، يمكن الخضوع لهذه النوعية من العلاج قبل أو بعد إجراء الاستئصال الجراحي.
- الخضوع للعلاج الكيميائي الذي يساعد بشكل أساسي في قتل الخلايا السرطانية أو على الأقل تثبيط نموها، وفي الكثير من الأوقات، ينصح الأطباء بضرورة الخضوع لهذه النوعية من العلاج قبل الخضوع لعملية استئصال الورم.
- استخدام العلاج المناعي الذي يساعد الجهاز المناعي في مقاومة الخلايا السرطانية، وينصح الأطباء بهذا العلاج في حال لم يستجب المريض للعلاجات الأخرى.
- الخضوع للعلاج الموجة الذي يُنصح به في حالات الإصابة المتكررة، ويساعد هذا العلاج في القضاء على الخلايا السرطانية التي تتجمع تحت اللسان أو في أي منطقة أخرى منه.
طرق الوقاية من سرطان تحت اللسان
هناك الكثير من الطرق البسيطة التي يساعد الاهتمام بها إلى التقليل من احتمالية الإصابة بسرطان تحت اللسان الخطير، وتتمثل هذه الطرق الوقائية فيما يلي:
- الإقلاع النهائي عن التدخين بمختلف أنواعه، والامتناع كذلك عن مضغ التبغ.
- إتباع نظام غذائي صحي غني بالفيتامينات والفواكه.
- مراجعة طبيب الأسنان بشكل دوري ومستمر، أو على الأقل كل 6 أشهر.
- الحصول على لقاح فيروس الورم الحليمي البشري، والذي يتناسب مع الأشخاص الذين تتراوح أعمارهم ما بين 11 إلى 26 عامًا.
- العناية بنظافة الفم والأسنان.
- الابتعاد النهائي عن الكحوليات بمختلف أنواعها.

وفي نهاية مقالنا عن سرطان تحت اللسان، يمكن القول أن ليس كل ورم في الفم أو تحت اللسان يعتبر سرطان، ولكن هذا لا يعني إغفال الأعراض التي قد تطرأ، لذلك، لا تتردد في حجز استشارتك مع مركز أمراض الدم والأورام في حال ظهور أيًا منها على الفور.