Chat with us on WhatsApp
بحث في
آخر عمليات البحث
  • 2026 (503)
  • 2025 (501)
  • 1qaz@WSX (228)
  • 2024 (139)
  • 2027 (59)
  • أورام (30)
  • 1 (12)
  • mohammed (12)
  • اخصائية التغذية (9)
  • الدم (9)
السرطان الأمبولي | الأسباب والعلاج
السرطان الأمبولي

هل سمعت من قبل عن السرطان الأمبولي؟ هذا النوع النادر من الأورام يظهر في منطقة الأمبولة الكبدية البنكرياسية، وتكثر العديد من التساؤلات حول أسبابه، أعراضه وطرق علاجه، لذا في هذا المقال، سنتعرف معًا على كل ما تحتاج لمعرفته عن هذا المرض وكيفية التعامل معه.

السرطان الأمبولي

السرطان الأمبولي هو نوع نادر من السرطان، يتشكل في منطقة تُعرف بأمبولة فاتر، وهي النقطة التي تلتقي فيها القناة الصفراوية بالقناة البنكرياسية قبل أن تصب في الجزء الأول من الأمعاء الدقيقة أو كما تُعرف بالاثنى عشر.

ونظرًا لموقعه الحساس، بالقرب من أعضاء حيوية مثل الكبد، البنكرياس والأمعاء الدقيقة، يمكن لهذا النوع من السرطان أن يؤثر بشكل كبير على وظائف الجهاز الهضمي، ومع تطوره، قد يتسبب في انسداد القنوات الصفراوية أو البنكرياسية، مما يؤدي إلى ظهور أعراض ملحوظة، مثل اليرقان، الحكة واضطرابات الهضم، فضلاً عن احتمالية تأثيره على الأعضاء المجاورة نتيجة انتشاره.

اسباب السرطان الأمبولي
اسباب السرطان الأمبولي

السبب الدقيق وراء الإصابة بـ السرطان الأمبولي غير معروف حتى الآن، ويُعتقد أن تطوره يبدأ عندما يحدث طفرة جينية في الحمض النووي (DNA) للخلايا الموجودة في منطقة أمبولة فاتر، وتعد مسؤولة عن تنظيم التدفق الطبيعي للسوائل الهاضمة إلى الأمعاء الدقيقة.

يلعب الحمض النووي دورًا حاسمًا في تحديد كيفية نمو الخلية، انقسامها وموتها في الوقت المناسب، وفقًا لتعليمات مشفرة تُعرف بـالجينات الورمية Oncogenes وجينات الكابح الورمي Tumor Suppressor Genes، وفي الظروف الطبيعية، تعمل هذه الجينات بانسجام لضمان توازن العمليات الخلوية، لكن عند حدوث طفرة جينية، تتعرض هذه العمليات للخطر، مما يؤدي إلى تنشيط الجينات الورمية أو تعطيل جينات الكابح الورمي.

نتيجة لهذه التغيرات، تبدأ الخلايا في التكاثر بشكل غير منضبط، متجاوزة الآليات الطبيعية التي تنظم دورة حياتها، وتتراكم الخلايا غير الطبيعية مكونة كتلة ورمية، والتي قد تكون في البداية حميدة، ولكنها تتحول لاحقًا إلى ورم خبيث، هذا الورم الخبيث يمكن أن يغزو الأنسجة المجاورة، مُسببًا ضررًا هيكليًا ووظيفيًا للأعضاء المحيطة.

مع تقدم المرض، قد تنتقل الخلايا السرطانية عبر الجهاز الليمفاوي أو الدم إلى مواقع بعيدة في الجسم، وهي عملية تُعرف بالانبثاث، وقد تشكل هذه الخلايا السرطانية الثانوية أورامًا جديدة في الأعضاء المستهدفة، مما يجعل المرض أكثر تعقيدًا وصعوبة في العلاج.

عوامل خطورة السرطان الأمبولي

هناك عدة عوامل قد تزيد من احتمالية الإصابة بالسرطان الأمبولي، ومنها:

  • يُلاحظ أن الإصابة بالسرطان الأمبولي تكون أكثر شيوعًا عند الأشخاص الذين تزيد أعمارهم عن 70 عامًا.
  • قد تؤدي بعض التغيرات في الحمض النووي التي يتم وراثتها من الوالدين إلى زيادة خطر الإصابة بالمرض وأنواع أخرى من السرطان، ومن أبرز هذه التغيرات هي تلك التي تترافق مع متلازمة لينش، وداء السلائل الورمي الغدي العائلي، ومتلازمة بويتز جيغرز.
  • تشير الدراسات إلى أن الأشخاص الذين يعانون من زيادة الوزن أو السمنة قد يكونون في خطر أكبر للإصابة ببعض أنواع السرطان.
  • يعد التدخين من العوامل التي تزيد من خطر الإصابة بسرطان البنكرياس والقنوات الصفراوية، مما يرفع احتمالية الإصابة بالمرض.

اعراض السرطان الأمبولي

تشمل أعراض السرطان الأمبولي مجموعة من العلامات التي قد تتفاوت من مريض إلى آخر، وتعتمد على مرحلة السرطان ومدى انتشاره، ومن أبرز الأعراض التي قد تظهر:

  • اليرقان، ويحدث نتيجة انسداد القنوات الصفراوية بسبب الورم.
  • شعور المريض بألم مستمر أو ألم في الجزء العلوي من البطن.
  • معاناة المريض من فقدان الوزن المفاجئ دون سبب واضح.
  • الغثيان والقيء، نتيجة انسداد الأمعاء أو تأثير الورم على الجهاز الهضمي.
  • قد يتحول البول إلى لون داكن، بينما يصبح البراز شاحبًا أو مائلًا إلى الأبيض.
  • شعور بعض المرضى بعدم الرغبة في تناول الطعام.
  • شعور عام بالإعياء وقلة الطاقة.
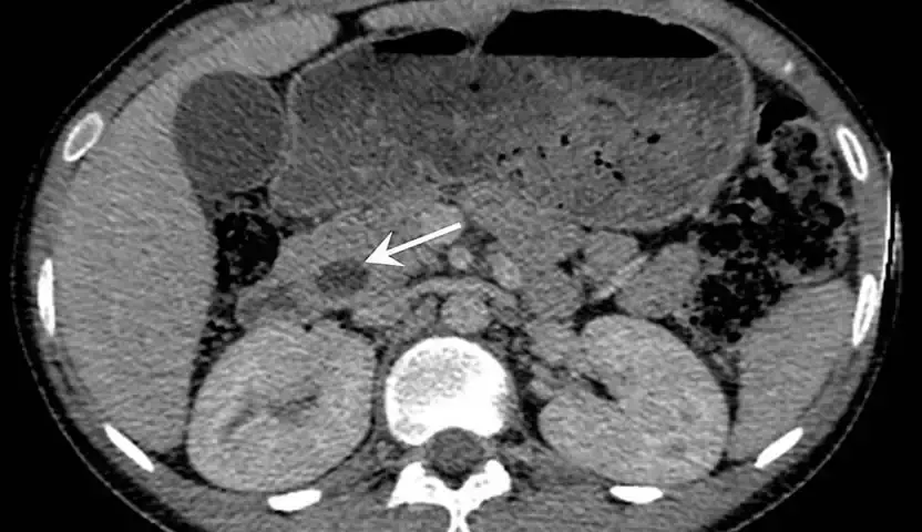
تشخيص السرطان الأمبولي
تشخيص السرطان الأمبولي

تشخيص السرطان الأمبولي

تتعدد الاختبارات والإجراءات الطبية المستخدمة لتشخيص السرطان الأمبولي، وتشمل ما يلي:

  • التنظير الداخلي: وهو إجراء طبي يتم فيه إدخال أنبوب رفيع وطويل، مزود بكاميرا صغيرة عبر الحلق إلى المعدة والأمعاء الدقيقة، مما يسمح للطبيب بمشاهدة منطقة أمبولة فاتر بوضوح، كما يمكن استخدام هذا الأنبوب لأخذ عينات من الأنسجة لتحليلها في المختبر.
  • التنظير الداخلي بالموجات فوق الصوتية: يُستخدم هذا النوع من التنظير لإجراء فحص تفصيلي للسرطان الأمبولي من خلال صور واضحة ودقيقة.
  • تصوير البنكرياس والقنوات الصفراوية بالمنظار: ويتضمن هذا الإجراء تمرير منظار داخلي عبر الأمعاء لاكتشاف الانسدادات في القنوات الصفراوية أو البنكرياسية، حيث يتم حقن صبغة تظهر هذه الانسدادات في الأشعة السينية.
  • الفحوص التصويرية: تشمل مجموعة من الأدوات التي تُستخدم لالتقاط صور دقيقة للجسم؛ لتحديد موقع السرطان وحجمه، كما تساعد في معرفة ما إذا كان السرطان قد انتشر إلى مناطق أخرى خارج أمبولة فاتر، ومنها التصوير المقطعي والتصوير بالرنين المغناطيسي.
  • الخزعة: تعتبر إجراءًا حاسمًا لتأكيد تشخيص السرطان الأمبولي، يتم خلالها أخذ عينة صغيرة من الأنسجة المشتبه فيها باستخدام تقنيات مثل التنظير الداخلي أو التنظير الداخلي بالموجات فوق الصوتية، وتحلل هذه العينة في المختبر لتحديد ما إذا كانت تحتوي على خلايا سرطانية، بالإضافة إلى توفير معلومات دقيقة عن نوع الورم وخصائصه، مما يساعد في وضع خطة علاجية دقيقة.

علاج سرطان الأمبولي

يبدأ علاج السرطان الأمبولي عادًة بالتدخل الجراحي لإزالة الورم، ولكن قد يرافق الجراحة علاج إضافي، مثل العلاج الكيميائي والإشعاعي، والذي يمكن أن يُستخدم إما قبل أو بعد الجراحة حسب حالة المريض، ويتم تحديد العلاج المناسب بناءًا على عوامل عدة، بما في ذلك حجم الورم والوضع الصحي العام للمريض، ومن أبرز طرق العلاج.

1- الجراحة

  • إجراء ويبل: يشمل هذا الإجراء الجراحي إزالة رأس البنكرياس، جزء من الأمعاء الدقيقة، المرارة وجزء من القناة الصفراوية، ويتم تنفيذ هذا الإجراء باستخدام شق كبير أو شقوق صغيرة وفقًا لحالة المريض.
  • الجراحة للسرطانات الصغيرة: في حالات السرطانات الأمبولية الصغيرة أو الأورام السابقة للتسرطن، قد يكون من الممكن إزالة الورم باستخدام أدوات يتم إدخالها عبر منظار داخلي، وهو ما يُعرف بالجراحة بالتنظير الداخلي.
  • تركيب الدعامة: في بعض الأحيان، قد يتطلب العلاج وضع دعامة في القنوات الصفراوية؛ لتخفيف الأعراض، ومساعدة الدعامة على تصريف السائل في القنوات الصفراوية.

2- العلاج الكيميائي

يتضمن استخدام أدوية قوية تعمل على قتل الخلايا السرطانية أو منعها من التكاثر، وتُمنح هذه الأدوية عن طريق الوريد أو الفم، وتعمل على استهداف الخلايا السرطانية في منطقة الورم، وكذلك أي خلايا قد تكون انتشرت إلى أجزاء أخرى من الجسم، وغالبًا ما يُستخدم العلاج الكيميائي كجزء من العلاج التلطيفي؛ لتحسين الأعراض إذا كان الورم غير قابل للجراحة.

3- العلاج الإشعاعي

يعتمد على توجيه حزم طاقة قوية من الأشعة السينية أو البروتونات إلى منطقة الورم، ويعمل على تدمير الحمض النووي للخلايا السرطانية، مما يعيق قدرتها على الانقسام والنمو، وقد يُستخدم العلاج الإشعاعي في حالات السرطان الموضعية أو عندما يكون الجراحة صعبة.

4- العلاج الكيميائي والإشعاعي

قد يتم استخدامهم معًا لعلاج السرطان الأمبولي في الحالات التالية:

  • قبل الجراحة: لتقليص حجم الورم، مما يُسهل استئصاله بالكامل أثناء الجراحة.
  • بعد الجراحة: للقضاء على أي خلايا سرطانية غير مرئية قد تبقى بعد استئصال الورم.
  • في الحالات المتقدمة: في حال صعوبة إجراء الجراحة؛ لتخفيف الأعراض وإبطاء تقدم المرض.

5- العلاج الاستهدافي

يتضمن العلاج الاستهدافي استخدام أدوية تستهدف المواد الكيميائية في الخلايا السرطانية لتدميرها، ويُستخدم هذا العلاج بشكل خاص عندما ينتشر السرطان إلى أماكن أخرى من الجسم أو يعود بعد العلاج، لكن يتم اللجوء إليه في الحالات الخاصة فقط.

6- العلاج المناعي

هو أسلوب يعزز قدرة الجهاز المناعي على التعرف على الخلايا السرطانية ومهاجمتها، ويُستخدم في حالات معينة من السرطان الأمبولي، خاصة عندما ينتشر المرض أو يعود بعد العلاج، ويعتمد هذا العلاج على تقييم دقيق للحالة الصحية للمريض وخصائص السرطان.

علاج سرطان الأمبولي
علاج سرطان الأمبولي

الوقاية من سرطان الأمبولي

لا توجد وسيلة معروفة للوقاية من السرطان الأمبولي، فهو يحدث عندما تنتشر الخلايا السرطانية من مكانها الأصلي إلى أجزاء أخرى من الجسم، وتعتمد الوقاية بشكل رئيسي على تجنب العوامل التي قد تزيد من خطر الإصابة بالسرطان، مثل الحفاظ على نمط حياة صحي، والحرص على إجراء فحص دوري شامل بانتظام.

في الختام، يعد السرطان الأمبولي من الأمراض النادرة التي تتطلب تشخيصًا دقيقًا وعلاجًا متخصصًا لتحقيق أفضل النتائج، لذا، إذا كنت تبحث عن رعاية طبية شاملة، فإن مركز أمراض الدم والأورام يوفر أحدث العلاجات وأمهر الأطباء لمساعدتك، اتصل الآن أو زور موقعنا لحجز موعدك.